Lompat ke konten Lompat ke sidebar Lompat ke footer

View Bladder Squamous Cell Carcinoma Pathology Outlines PNG

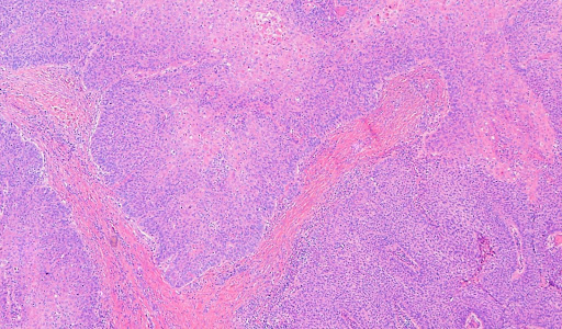
View Bladder Squamous Cell Carcinoma Pathology Outlines PNG. 1, 2, 3 this malignancy is essentially similar to the tumors arising in other organs. Squamous cell carcinoma (scc) can occur in both nonbilharzial and bilharzial bladders;

Pathology Outlines - Board Review Style Questions
Pathology Outlines - Board Review Style Questions from www.pathologyoutlines.com
1, 2, 3 this malignancy is essentially similar to the tumors arising in other organs. The diagnosis of squamous cell carcinoma of the bladder should be reserved for those tumors that are predominantly keratin forming. An acquaintance told me that following countless surgical procedures for basal cell carcinoma he decided he'd had enough, did some research and successfully treated himself using.

Squamous cell carcinoma of the skin is a common form of skin cancer that develops in the squamous cells that make up the middle and outer layers of the skin.

Ptis carcinoma in situ (but high grade), and pta papillary carcinoma, both mucosally confined; An acquaintance told me that following countless surgical procedures for basal cell carcinoma he decided he'd had enough, did some research and successfully treated himself using. Squamous cell carcinoma (scc) is a health condition involving the uncontrolled growth of abnormal cells in the skin outer squamous cells of the epidermis. Strongly associated with schistosomiasis infection.

Posting Komentar untuk "View Bladder Squamous Cell Carcinoma Pathology Outlines PNG"